ikcw.com 癌症救助网 资讯 专题 医院 医生 药物 中医 指南 护理 食疗 偏方 特色 心理 家园 救助 百问 预防 博客 微博
医疗纠纷收费标准其他疗法检查手段放疗设备住院治疗学看化验单求医技巧选择医院
检查手段 您所在的位置:
首页
就医指南
检查手段
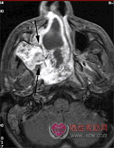
青年型鼻咽血管纤维瘤的病理
青年型鼻咽血管纤维瘤的病理
作者:匿名  来源:癌症救助网  时间:2010-09-24 00:39:49
青年型鼻咽血管纤维瘤的病理
 
本病多起源于鼻咽顶部的纤维组织及血管组织,肿瘤中血管丰富,血管壁薄,为单层上皮,其下为平滑肌,缺乏弹性组织,损伤后不易收缩,常引起大出血。肿瘤增长时可压迫邻近骨壁,侵入鼻窦、眼眶、鼻腭窝,甚至破坏颅底进入颅腔。因此,此病在组织学上虽属良性,但在临床上可引起严重后果。
 
较大的肿瘤通常呈双叶型或哑铃型,其中一部分瘤体填充在鼻咽而另一部分则延伸至翼腭窝。
 

大型瘤体
责任编辑: 王浩
癌症百问:
热点推荐:
生命十字家园活动
>> 更多
生命十字家园

张伟和郑新颖的儿子今年11岁,6年前,他患上白血病。张伟夫妇在医生的建议下...

癌症救助网为癌患建设“生命十字家园” 生命十字爱心专家服务教师患者
中医抗癌
>> 更多
中西医综合治肝癌一守一攻效更佳

专家介绍,作为一种主要的辅助治疗手段,中医药虽然对消除...

坐得越长寿命越短 小心诱发癌症 最新研究:针灸可解癌症疼痛 中医对癌症的诊断 抗癌中医药—补骨脂
癌症预防
>> 更多
早发现 四成癌症可预防

专家提醒,提高保健意识,做好肿瘤的预防工作,定期体检是...

西红柿搭配什么吃能预防癌症 多吃淀粉类食品可预防癌症 防癌手册:暗藏癌症隐患 千万不能忽视的小病 白血病患者化疗时应注意的问题
Copyright © 2008-2021 www.ikcw.com 版权所有 癌症救助网 - 中国(慈善救助)癌症患者第一门户网站 未经授权请勿转载
互联网药品信息服务许可证  互联网医疗卫生信息服务许可证   京ICP备08101493号   京公网安备11010502022924
十年树木,百年树人。癌症救助网,坚持公益,坚持救助,做国际慈善癌症救助网络平台!
癌症救助网,公益,救助,肿瘤名医名院-国际慈善癌症救助网络平台!