ikcw.com 癌症救助网 资讯 专题 医院 医生 药物 中医 指南 护理 食疗 偏方 特色 心理 家园 救助 百问 预防 博客 微博
全部癌肿乳腺癌泌尿系统其他儿童实体瘤女性生殖系统运动系统神经系统男性生殖系统血液循环系统内分泌系统消化系统感觉器呼吸系统
病因及表现 您所在的位置:
首页
肿瘤专题
消化系统
直肠癌
病因及表现
直肠癌的转移扩散
直肠癌的转移扩散
作者:匿名  来源:癌症救助网  时间:2011-04-26 02:29:21
大多数患者确诊时就已出现程度不同的播散,因此手术时,应针对不同的播散程度来选择手术切除范围和手术方式。
大多数患者确诊时就已出现程度不同的播散,因此手术时,应针对不同的播散程度来选择手术切除范围和手术方式。
 
直肠癌的播散途径有直接浸润、淋巴道转移、血行转移、种植播散。
 
(1)直接播散
 
肿瘤沿肠内壁局部扩散,或呈环形浸润,累及肠管全周形成环形狭窄,或向纵轴蔓延。一般来说,大肠癌的生长速度较慢,其环绕肠管扩展一周需18~24个月,即每5~6个月扩展四分之一周。当癌浸润至粘膜以下的粘膜下层、肌层及浆膜下层时,癌的纵向蔓延要比粘膜层广。所以手术切断肠管的距离要长于肿瘤的距离,方可保证肠管切缘无癌浸润。
 
肿瘤可穿过肠壁向肠外浸润,肿瘤浸润的程度取决于肿瘤的生长特性(肿块型、溃疡型、狭窄型)、分化程度(恶性程度)及早中晚期。大肠癌浸润穿透肠壁时,即可直接浸润邻近组织器官。直肠癌可累及膀胱、子宫、阴道、前列腺、精囊或骶骨。
 
(2)淋巴道转移
 
直肠癌淋巴道转移率为40%~50%,早期癌转移率约为10%。
 
①淋巴道转移率与肿瘤的生长类型和分化程度有关,高分化癌其转移率明显低于低分化癌。
 
②淋巴道转移率也与浸润肠壁的深度密切相关。极少数早期患者肿瘤只限于粘膜层时,由于粘膜层中无淋巴管存在,所以不至于发生淋巴转移。但多数患者肿瘤已经突破粘膜层浸润粘膜下层时,就有可能发生淋巴道转移。随着癌向肠壁深层及肠壁外浸润,淋巴结转移的机会明显增加。
 
淋巴道转移方式,通常沿淋巴管转移至相应“区域淋巴结”。但有时也可发生跳跃式转移及逆向转移。一旦发生“区域淋巴结”转移病人已属晚期(Ⅲ期或Ⅳ期)。
 
 
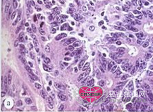
腺癌。(a)高倍镜显示中分化腺癌,癌细胞核形不规则、核深染,核仁突出及核分裂象。(b)经淋巴结活检证实有转移。
 
(3)血行转移
 
肝为直肠癌血行转移最常见的部位,其次为肺、肾上腺、卵巢、脑、肾及皮肤等处。
 
直肠癌肺转移
 
(4)种植播散
 
直肠癌浸润肠壁浆膜层时,癌细胞可从肠壁脱落进入腹腔而发生种植播散。广泛的种植播散可产生癌性腹水;可发生在直肠子宫窝或直肠膀胱窝;种植卵巢则形成Krukenberg式癌。 
责任编辑: 张恺
癌症百问:
热点推荐:
生命十字家园活动
>> 更多
生命十字家园

张伟和郑新颖的儿子今年11岁,6年前,他患上白血病。张伟夫妇在医生的建议下...

癌症救助网为癌患建设“生命十字家园” 生命十字爱心专家服务教师患者
中医抗癌
>> 更多
中西医综合治肝癌一守一攻效更佳

专家介绍,作为一种主要的辅助治疗手段,中医药虽然对消除...

坐得越长寿命越短 小心诱发癌症 最新研究:针灸可解癌症疼痛 中医对癌症的诊断 抗癌中医药—补骨脂
癌症预防
>> 更多
早发现 四成癌症可预防

专家提醒,提高保健意识,做好肿瘤的预防工作,定期体检是...

西红柿搭配什么吃能预防癌症 多吃淀粉类食品可预防癌症 防癌手册:暗藏癌症隐患 千万不能忽视的小病 白血病患者化疗时应注意的问题
Copyright © 2008-2021 www.ikcw.com 版权所有 癌症救助网 - 中国(慈善救助)癌症患者第一门户网站 未经授权请勿转载
互联网药品信息服务许可证  互联网医疗卫生信息服务许可证   京ICP备08101493号   京公网安备11010502022924
十年树木,百年树人。癌症救助网,坚持公益,坚持救助,做国际慈善癌症救助网络平台!
癌症救助网,公益,救助,肿瘤名医名院-国际慈善癌症救助网络平台!