ikcw.com 癌症救助网 资讯 专题 医院 医生 药物 中医 指南 护理 食疗 偏方 特色 心理 家园 救助 百问 预防 博客 微博
全部癌肿乳腺癌泌尿系统其他儿童实体瘤女性生殖系统运动系统神经系统男性生殖系统血液循环系统内分泌系统消化系统感觉器呼吸系统
检查 您所在的位置:
首页
肿瘤专题
内分泌系统
胸腺瘤
检查
胸腺瘤的检查
胸腺瘤的检查
作者:匿名  来源:癌症救助网  时间:2011-04-23 21:47:21
胸腺瘤的检查
1.X线表现:
 
①纵隔向一侧增宽,形成圆形或椭圆形纵隔肿块,边缘清楚。
 
②纵隔肿块密度均匀,多位于前纵隔的中部,少数可达膈肌之上。
 
③侧位片,肿块主要位于胸骨角之后。
 
 
 
 
纵隔胸腺瘤。胸正位片(上图)示肿瘤位于左侧纵隔,呈明显分叶状;侧位片(下图)肿瘤位于胸骨后前纵隔的上、中部。
 
2.CT表现:
 
①胸腺瘤表现为前纵隔升主动脉前方软组织密度肿块,呈圆形或分叶状,直径1~10cm,与周围纵隔脂肪分界清楚。
 
②胸腺瘤内可有钙化灶,部分胸腺瘤可发生囊变,特别是放疗后的胸腺瘤。
 
③增强检查,胸腺瘤发生轻至中度强化。
 
④提示恶性胸腺瘤征象是肿块边界不清、纵隔淋巴结增大、心包积液和心包增厚、邻近肺实质受侵出现肿块和胸膜下转移结节。
 
 
 
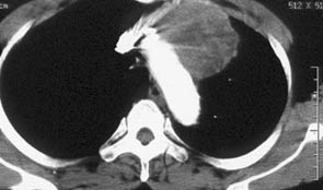
纵隔胸腺肿瘤。CT增强纵隔窗示右前纵隔软组织密度肿块(标记),有强化表现。中心密度略低。
 
 
 
 CT平扫:中纵隔气管分杈前间隙内见一巨大软组织肿块,最大径约10.5×8.0cm,密度不均。其后方左主支气管轻度受压,左外侧穿过主动脉窗伸入主动脉弓左旁隙。上缘达胸锁关节水平,下缘达第七胸椎水平。心包前缘见少量积液征
 
3.MRI表现:
 
①前纵隔升主动脉前方圆形或卵圆形肿块,边缘光滑,T1加权像上呈略低信号,周围为高信号纵隔脂肪包绕。
 
②肿块内可有囊变,囊变区呈长T1低信号和长T2高信号,钙化灶则呈无信号结构。
 
③注射二乙三胺五乙酸钆(Gd-DTPA)增强检查,肿瘤明显强化,囊变、坏死区无强化。
 
④恶性胸腺瘤MRI表现与CT相似,肿块形态不规则,纵隔脂肪和邻近结构广泛浸润。
 
4、活组织检查
 
包括针吸细胞学检查、纵隔镜和胸腔镜等方法来确定病变良、恶性。

 

责任编辑: 周晓萌
癌症百问:
热点推荐:
生命十字家园活动
>> 更多
生命十字家园

张伟和郑新颖的儿子今年11岁,6年前,他患上白血病。张伟夫妇在医生的建议下...

癌症救助网为癌患建设“生命十字家园” 生命十字爱心专家服务教师患者
中医抗癌
>> 更多
中西医综合治肝癌一守一攻效更佳

专家介绍,作为一种主要的辅助治疗手段,中医药虽然对消除...

坐得越长寿命越短 小心诱发癌症 最新研究:针灸可解癌症疼痛 中医对癌症的诊断 抗癌中医药—补骨脂
癌症预防
>> 更多
早发现 四成癌症可预防

专家提醒,提高保健意识,做好肿瘤的预防工作,定期体检是...

西红柿搭配什么吃能预防癌症 多吃淀粉类食品可预防癌症 防癌手册:暗藏癌症隐患 千万不能忽视的小病 白血病患者化疗时应注意的问题
Copyright © 2008-2021 www.ikcw.com 版权所有 癌症救助网 - 中国(慈善救助)癌症患者第一门户网站 未经授权请勿转载
互联网药品信息服务许可证  互联网医疗卫生信息服务许可证   京ICP备08101493号   京公网安备11010502022924
十年树木,百年树人。癌症救助网,坚持公益,坚持救助,做国际慈善癌症救助网络平台!
癌症救助网,公益,救助,肿瘤名医名院-国际慈善癌症救助网络平台!