ikcw.com 癌症救助网 资讯 专题 医院 医生 药物 中医 指南 护理 食疗 偏方 特色 心理 家园 救助 百问 预防 博客 微博
全部癌肿乳腺癌泌尿系统其他儿童实体瘤女性生殖系统运动系统神经系统男性生殖系统血液循环系统内分泌系统消化系统感觉器呼吸系统
诊断 您所在的位置:
首页
肿瘤专题
血液循环系统
白血病
诊断
急性白血病的分型
急性白血病的分型
作者:匿名  来源:癌症救助网  时间:2011-04-23 00:44:36
急性白血病可分为急性淋巴细胞白血病(急淋,ALL)和急性非淋巴细胞白血病(急非淋,ANLL)两大类。
急性白血病可分为急性淋巴细胞白血病(急淋,ALL)和急性非淋巴细胞白血病(急非淋,ANLL)两大类。根据1985年修订的FAB分型标准,ANLL共分M1-M7等7型,他们分别是:
 
M1:未分化的原粒细胞白血病;
 
M2:部分分化的原粒细胞白血病;
 
M3:急性早幼粒细胞白血病;
 
M3a:嗜苯胺蓝颗粒粗大、密集或融合;
 
M3b:嗜苯胺蓝颗粒密集而细小;
 
M4:急性粒、单核细胞白血病;
 
M5:急性单核细胞白血病;
 
M6:急性红血病或红白血病;
 
M7:急性巨核细胞白血病。
 
ALL根据FAB形态学特点,则相应分为L1、L2、L3共3型。
 
L1型:小细胞为主,原始淋巴细胞有均匀的圆形核、胞浆少;
 
L2型:大细胞为主,原始淋巴细胞变化较大,核可能不规则,胞浆较L1多;
 
L3型:大细胞为主,大小较一致。原始淋巴细胞有较细小的核染色质,胞浆为蓝色-深蓝色并有空泡形成。

 
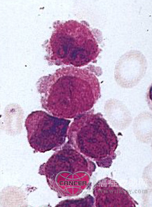
急性原始粒细胞白血病(M1亚型)。骨髓针吸涂片显示原始细胞有一个或多个核仁的常不规则的大核。(a,b)典型的I型原始细胞有松散的打开的染色质,有明确的核仁和没有颗粒的不成熟的胞浆。(c)Ⅱ型原始细胞与I型相似,但有多于15个胞浆细小的嗜天青颗粒,偶尔有Auer小体(箭头)。至少有3%的细胞苏丹黑或髓过氧化物酶染色阳性。
 

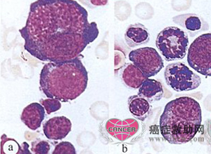
急性原始粒细胞白血病伴成熟(M2亚型)。(a,b)Ⅲ型原始细胞在这个亚型中突出,有相对大量的嗜天青颗粒但仍缺乏高尔基区。Auer小体可见。特征性的t(8;21)染色体异常通常存在。
 
  
急性早幼粒细胞白血病(M3亚型)。(a,b)早幼粒细胞含有粗大的嗜天青颗粒及与颗粒染色相似的Auer小体。核有一个或两个核仁。高尔基区在大多数细胞中突出。这一亚型与染色体易位t(15;17)有关。M3ANLL的严重并发症部分是由于母细胞中组织因子的释放引起的出血。导致弥散性血管内凝血(DIC)。
 
 
 
 
红白血病(M6亚型)。(a~c)有核红细胞在骨髓针吸涂片高倍视野中很突出,许多红细胞异常造血像明显,如多 核细胞、空泡状胞浆、异常核分裂和巨成 红细胞核。原始粒细胞常存在,可在疾病 早期突出。DiGuglielmo综合征指这种疾 病的不同时期:红白血病、红细胞增多症 样的粒细胞增生和急性粒细胞白血病。
 
 
 
急性巨核细胞白血病(M7~IE型)。(a)母细胞大到中等大小,许多细胞有明显的核仁。胞浆显示假荚膜样的边界,与此 型有关但不仅限于此亚型。(b)一例急性巨核细胞白血病患者的骨髓活检显示许多母细胞类型在骨髓中存在(Giemsa染色)。 (c)母细胞PAS阳性但过氧化物酶染色阴性。免疫组化染色糖蛋白Ⅲa(CD61)阳性在这个病例中具有诊断意义。

爱心提示:以上仅供您对您感兴趣的肿瘤细胞类型有个印象,认清并真正读懂并没有特殊意义。
 
另外根据免疫学特点,ALL上可分成T细胞和B细胞两大类,并进而再分成多种亚型。仅除L1型急淋必然为B细胞型急淋外,急淋的形态学分型与免疫学分型间无明显相关。
责任编辑: 周宏昌
癌症百问:
热点推荐:
生命十字家园活动
>> 更多
生命十字家园

张伟和郑新颖的儿子今年11岁,6年前,他患上白血病。张伟夫妇在医生的建议下...

癌症救助网为癌患建设“生命十字家园” 生命十字爱心专家服务教师患者
中医抗癌
>> 更多
中西医综合治肝癌一守一攻效更佳

专家介绍,作为一种主要的辅助治疗手段,中医药虽然对消除...

坐得越长寿命越短 小心诱发癌症 最新研究:针灸可解癌症疼痛 中医对癌症的诊断 抗癌中医药—补骨脂
癌症预防
>> 更多
早发现 四成癌症可预防

专家提醒,提高保健意识,做好肿瘤的预防工作,定期体检是...

西红柿搭配什么吃能预防癌症 多吃淀粉类食品可预防癌症 防癌手册:暗藏癌症隐患 千万不能忽视的小病 白血病患者化疗时应注意的问题
Copyright © 2008-2021 www.ikcw.com 版权所有 癌症救助网 - 中国(慈善救助)癌症患者第一门户网站 未经授权请勿转载
互联网药品信息服务许可证  互联网医疗卫生信息服务许可证   京ICP备08101493号   京公网安备11010502022924
十年树木,百年树人。癌症救助网,坚持公益,坚持救助,做国际慈善癌症救助网络平台!
癌症救助网,公益,救助,肿瘤名医名院-国际慈善癌症救助网络平台!