ikcw.com 癌症救助网 资讯 专题 医院 医生 药物 中医 指南 护理 食疗 偏方 特色 心理 家园 救助 百问 预防 博客 微博
全部癌肿乳腺癌泌尿系统其他儿童实体瘤女性生殖系统运动系统神经系统男性生殖系统血液循环系统内分泌系统消化系统感觉器呼吸系统
基础 您所在的位置:
首页
肿瘤专题
儿童实体瘤
神经母细胞瘤
基础
神经母细胞瘤的病理
神经母细胞瘤的病理
作者:匿名  来源:癌症救助网  时间:2011-04-13 00:11:03
1. 病理改变 起源于神经嵴的肿瘤,主要区分为交感神经系统肿瘤(神经母细胞瘤等)、副神经节系统肿瘤(嗜铬细胞瘤等)和神经胶质系统肿瘤(神经鞘瘤等)。 神经母细胞瘤可发生在身体各个部位。主要起源于肾上腺髓质、腹膜后、后纵隔、盆腔和颈部交感神经节细胞。75%位于腹膜后,以肾上腺最多,个别病例为双侧性,20%在纵隔。肿瘤呈结节状,由血管丰富的结缔组织假被膜覆盖,切面呈灰白色的髓样组织,其间杂
1. 病理改变
 
起源于神经嵴的肿瘤,主要区分为交感神经系统肿瘤(神经母细胞瘤等)、副神经节系统肿瘤(嗜铬细胞瘤等)和神经胶质系统肿瘤(神经鞘瘤等)。
 
神经母细胞瘤可发生在身体各个部位。主要起源于肾上腺髓质、腹膜后、后纵隔、盆腔和颈部交感神经节细胞。75%位于腹膜后,以肾上腺最多,个别病例为双侧性,20%在纵隔。肿瘤呈结节状,由血管丰富的结缔组织假被膜覆盖,切面呈灰白色的髓样组织,其间杂有出血和坏死,有时有钙化灶。
 
镜下病理分为未分化型及低分化型。未分化型由小圆形及卵圆形细胞组成,核深染,胞质少,呈弥漫密集分布,多见于婴幼儿病例。低分化型瘤细胞较大,多呈圆形、卵圆形、长梭形,核染色淡,染色质分散,核中央可见小核仁;瘤细胞20—30个呈放射状排列,形成菊形团,为神经母细胞瘤的病理特征之一。光镜下的病理形态与其他小圆细胞肿瘤常难以鉴别。神经母细胞瘤的超微结构既具有神经元的特征,又呈现肿瘤细胞的异形性。细胞核常呈圆形或椭圆形,有大量的粗面内质网及多聚核糖体(Nissl体)。并可观察到无髓神经纤维及其中的神经微丝、微管。肿瘤的异形性表现为细胞大小不一,形态不规则,细胞核呈锯齿状、多角形等。根据肿瘤细胞的大小形态、胞质内容物、神经纤维的分化,可将神经母细胞瘤分为四型,即未分化型、低分化型、分化型及神经节细胞型。肿瘤细胞及神经胞突中存在不同直径的圆形或椭圆形的神经分泌颗粒。颗粒的数量随细胞分化而依次递增,即分化好的颗粒多,预后较好。肿瘤组织中发现神经分泌颗粒,是诊断神经母细胞瘤的特征之一。已知分泌颗粒与儿茶酚胺的储存、释放有关。
 
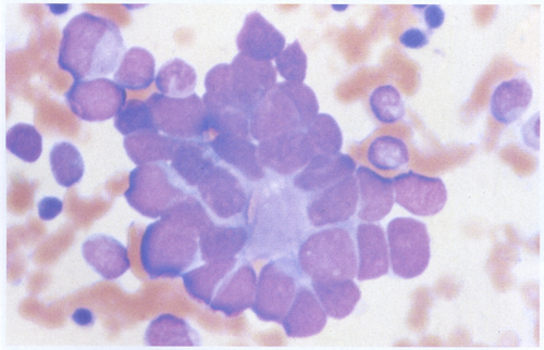
神经母细胞瘤。这张骨髓穿刺涂片可见一团肿瘤细胞,排列成玫瑰花样,中央有纤维轴心。单个细胞类似原始淋巴细胞,体积小、胞浆少。
 
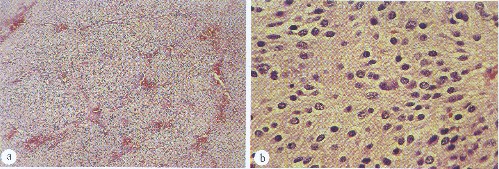
神经母细胞瘤。(a)低倍镜下可见神经母细胞瘤的典型小叶结构,肿瘤细胞形成大的分散癌巢,周围是纤细的纤维血管基质。(b)同一肿瘤的高倍镜下,可见小圆肿瘤细胞分散于丰富的粉红色原纤维网状物质中(神经髓)。神经髓代表胞浆运输过程(神经突)。该照片中央的肿瘤细胞有丰富的胞浆,类似不成熟的神经节细胞,因此有向成熟方向发展的趋势。
 
 
 
爱心提示:以上仅供您对您感兴趣的肿瘤细胞类型有个印象,认清并真正读懂并没有特殊意义。
责任编辑: 刘杰
癌症百问:
热点推荐:
生命十字家园活动
>> 更多
生命十字家园

张伟和郑新颖的儿子今年11岁,6年前,他患上白血病。张伟夫妇在医生的建议下...

癌症救助网为癌患建设“生命十字家园” 生命十字爱心专家服务教师患者
中医抗癌
>> 更多
中西医综合治肝癌一守一攻效更佳

专家介绍,作为一种主要的辅助治疗手段,中医药虽然对消除...

坐得越长寿命越短 小心诱发癌症 最新研究:针灸可解癌症疼痛 中医对癌症的诊断 抗癌中医药—补骨脂
癌症预防
>> 更多
早发现 四成癌症可预防

专家提醒,提高保健意识,做好肿瘤的预防工作,定期体检是...

西红柿搭配什么吃能预防癌症 多吃淀粉类食品可预防癌症 防癌手册:暗藏癌症隐患 千万不能忽视的小病 白血病患者化疗时应注意的问题
Copyright © 2008-2021 www.ikcw.com 版权所有 癌症救助网 - 中国(慈善救助)癌症患者第一门户网站 未经授权请勿转载
互联网药品信息服务许可证  互联网医疗卫生信息服务许可证   京ICP备08101493号   京公网安备11010502022924
十年树木,百年树人。癌症救助网,坚持公益,坚持救助,做国际慈善癌症救助网络平台!
癌症救助网,公益,救助,肿瘤名医名院-国际慈善癌症救助网络平台!