ikcw.com 癌症救助网 资讯 专题 医院 医生 药物 中医 指南 护理 食疗 偏方 特色 心理 家园 救助 百问 预防 博客 微博
全部癌肿乳腺癌泌尿系统其他儿童实体瘤女性生殖系统运动系统神经系统男性生殖系统血液循环系统内分泌系统消化系统感觉器呼吸系统
基础 您所在的位置:
首页
肿瘤专题
其他
胸膜间皮瘤
基础
什么是胸膜间皮瘤
什么是胸膜间皮瘤
作者:匿名  来源:癌症救助网  时间:2011-04-26 03:56:09
胸膜间皮瘤是胸膜原发肿瘤,有局限型(多为良性)和弥漫型(都是恶性)之分。其中弥漫型恶性间皮瘤是胸部预后最坏的肿瘤之一。
胸膜间皮瘤是胸膜原发肿瘤,有局限型(多为良性)和弥漫型(都是恶性)之分。其中弥漫型恶性间皮瘤是胸部预后最坏的肿瘤之一。本病可发生于任何年龄,但以40岁以上多见,男性2倍于女性。右侧胸腔比左侧常见。长期接触石棉,易诱发恶性间皮瘤。其发病数比一般人群高100~300倍。从接触石棉到发现间皮瘤长达13~45年。按细胞形态可分为肉瘤样型、混合型和间皮或上皮细胞型,前两类大多为良性,后一类为恶性。
 
 
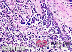
胸膜瘤间皮瘤:部分区域vimentin染色阳性,说明具有间叶组织分化的特点。
 
 
恶性间皮瘤:瘤组织内可见明显裂隙,细胞异型性明显,可见巨细胞,部分细胞组成乳头状结构。
 
 
说明:肉瘤样型,示瘤组织显示纤维肉瘤的组织像。
 
 
说明:未分化多边细胞型,瘤细胞呈多边形,排成实体上皮细胞团块。
 
 
说明:腺管乳头状型,瘤细胞排列成细乳头状结构。
 
 
说明:混合型,图示纤维肉瘤样间皮瘤组织中夹杂着少量的腺管样结构。
 
爱心提示:以上仅供您对您感兴趣的肿瘤细胞类型有个印象,认清并真正读懂并没有特殊意义。
责任编辑: 秦曙东
癌症百问:
热点推荐:
生命十字家园活动
>> 更多
生命十字家园

张伟和郑新颖的儿子今年11岁,6年前,他患上白血病。张伟夫妇在医生的建议下...

癌症救助网为癌患建设“生命十字家园” 生命十字爱心专家服务教师患者
中医抗癌
>> 更多
中西医综合治肝癌一守一攻效更佳

专家介绍,作为一种主要的辅助治疗手段,中医药虽然对消除...

坐得越长寿命越短 小心诱发癌症 最新研究:针灸可解癌症疼痛 中医对癌症的诊断 抗癌中医药—补骨脂
癌症预防
>> 更多
早发现 四成癌症可预防

专家提醒,提高保健意识,做好肿瘤的预防工作,定期体检是...

西红柿搭配什么吃能预防癌症 多吃淀粉类食品可预防癌症 防癌手册:暗藏癌症隐患 千万不能忽视的小病 白血病患者化疗时应注意的问题
Copyright © 2008-2021 www.ikcw.com 版权所有 癌症救助网 - 中国(慈善救助)癌症患者第一门户网站 未经授权请勿转载
互联网药品信息服务许可证  互联网医疗卫生信息服务许可证   京ICP备08101493号   京公网安备11010502022924
十年树木,百年树人。癌症救助网,坚持公益,坚持救助,做国际慈善癌症救助网络平台!
癌症救助网,公益,救助,肿瘤名医名院-国际慈善癌症救助网络平台!