ikcw.com 癌症救助网 资讯 专题 医院 医生 药物 中医 指南 护理 食疗 偏方 特色 心理 家园 救助 百问 预防 博客 微博
全部癌肿乳腺癌泌尿系统其他儿童实体瘤女性生殖系统运动系统神经系统男性生殖系统血液循环系统内分泌系统消化系统感觉器呼吸系统
病因及表现 您所在的位置:
首页
肿瘤专题
泌尿系统
肾癌
病因及表现
肾癌的分类
肾癌的分类
作者:匿名  来源:癌症救助网  时间:2010-09-24 01:00:19
肿瘤多位于肾脏上下两极。大体观察:瘤体直径平均7cm,瘤块较大时可隆起于肾表面或穿破肾被膜。切面有出血和坏死呈多彩状,常有假包膜与周围肾组织相隔,囊性变区也常见。
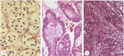
(a)典型透明细胞型,由胞浆中富含脂质和糖原的细胞组成。(b)乳头状型,可见纤维血管轴心,期内可见灶状泡沫状巨噬细胞。(c)肉瘤样型,可见纵横交叉的梭形细胞束。 

1、肾细胞癌
 
又称肾腺癌。肿瘤多位于肾脏上下两极。大体观察:瘤体直径平均7cm,瘤块较大时可隆起于肾表面或穿破肾被膜。切面有出血和坏死呈多彩状,常有假包膜与周围肾组织相隔,囊性变区也常见。
 
2、乳头状肾细胞癌
 
约占肾恶性上皮肿瘤的10%,预后较好,90%病例生存期可超过15年。大体:瘤块大小可相差很大,切面有多数小囊腔。
 
3、肉瘤样癌
较少见,占肾恶性肿瘤的1%,预后很差。大体:瘤块较大,无包膜。
 
4、嫌色细胞瘤
占肾癌5%左右,可能来自于集合管上皮,预后较好,5年生存率为92%。大体:瘤体呈球形,位于肾髓质,切面灰白质脆。
 
5、集合管癌
 
占肾恶性上皮肿瘤的1%,预后差,大多数患者平均生存期约1年。大体:瘤块主要位于肾髓质,切面灰白实性,质脆。

 图为肾细胞癌,由于肿瘤的侵犯,肾静脉可因附壁的血栓而发生梗阻。 

爱心提示:以上仅供您对您感兴趣的肿瘤细胞类型有个印象,认清并真正读懂并没有特殊意义。

 

责任编辑: 高展
癌症百问:
热点推荐:
生命十字家园活动
>> 更多
生命十字家园

张伟和郑新颖的儿子今年11岁,6年前,他患上白血病。张伟夫妇在医生的建议下...

癌症救助网为癌患建设“生命十字家园” 生命十字爱心专家服务教师患者
中医抗癌
>> 更多
中西医综合治肝癌一守一攻效更佳

专家介绍,作为一种主要的辅助治疗手段,中医药虽然对消除...

坐得越长寿命越短 小心诱发癌症 最新研究:针灸可解癌症疼痛 中医对癌症的诊断 抗癌中医药—补骨脂
癌症预防
>> 更多
早发现 四成癌症可预防

专家提醒,提高保健意识,做好肿瘤的预防工作,定期体检是...

西红柿搭配什么吃能预防癌症 多吃淀粉类食品可预防癌症 防癌手册:暗藏癌症隐患 千万不能忽视的小病 白血病患者化疗时应注意的问题
Copyright © 2008-2021 www.ikcw.com 版权所有 癌症救助网 - 中国(慈善救助)癌症患者第一门户网站 未经授权请勿转载
互联网药品信息服务许可证  互联网医疗卫生信息服务许可证   京ICP备08101493号   京公网安备11010502022924
十年树木,百年树人。癌症救助网,坚持公益,坚持救助,做国际慈善癌症救助网络平台!
癌症救助网,公益,救助,肿瘤名医名院-国际慈善癌症救助网络平台!