ikcw.com 癌症救助网 资讯 专题 医院 医生 药物 中医 指南 护理 食疗 偏方 特色 心理 家园 救助 百问 预防 博客 微博
全部癌肿乳腺癌泌尿系统其他儿童实体瘤女性生殖系统运动系统神经系统男性生殖系统血液循环系统内分泌系统消化系统感觉器呼吸系统
基础 您所在的位置:
首页
肿瘤专题
泌尿系统
肾盂肿瘤
基础
肾盂癌的分类
肾盂癌的分类
作者:匿名  来源:癌症救助网  时间:2011-04-22 03:23:18
肾盂癌的分类
肾盂肿瘤,乳头状
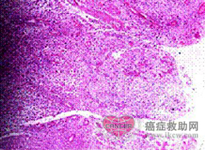
肾盂乳头状移行细胞癌,癌侵及肾盂粘膜固有层
 
 
肾盂移行细胞癌
 
多数为移行细胞乳头状肿瘤,实质性占1/5。瘤细胞分化和基底的浸润程度可有很大差别。肿瘤有单发,亦有多发。其转移途径因肾盂壁肌层很薄,周围淋巴组织丰富,常有早期淋巴转移。肾盂鳞状细胞癌罕见,多与长期尿石、感染等刺激有关。
责任编辑: 邱博
癌症百问:
热点推荐:
生命十字家园活动
>> 更多
生命十字家园

张伟和郑新颖的儿子今年11岁,6年前,他患上白血病。张伟夫妇在医生的建议下...

癌症救助网为癌患建设“生命十字家园” 生命十字爱心专家服务教师患者
中医抗癌
>> 更多
中西医综合治肝癌一守一攻效更佳

专家介绍,作为一种主要的辅助治疗手段,中医药虽然对消除...

坐得越长寿命越短 小心诱发癌症 最新研究:针灸可解癌症疼痛 中医对癌症的诊断 抗癌中医药—补骨脂
癌症预防
>> 更多
早发现 四成癌症可预防

专家提醒,提高保健意识,做好肿瘤的预防工作,定期体检是...

西红柿搭配什么吃能预防癌症 多吃淀粉类食品可预防癌症 防癌手册:暗藏癌症隐患 千万不能忽视的小病 白血病患者化疗时应注意的问题
Copyright © 2008-2021 www.ikcw.com 版权所有 癌症救助网 - 中国(慈善救助)癌症患者第一门户网站 未经授权请勿转载
互联网药品信息服务许可证  互联网医疗卫生信息服务许可证   京ICP备08101493号   京公网安备11010502022924
十年树木,百年树人。癌症救助网,坚持公益,坚持救助,做国际慈善癌症救助网络平台!
癌症救助网,公益,救助,肿瘤名医名院-国际慈善癌症救助网络平台!